:quality(80):format(jpeg)/posts/2019-08/26/featured-5727c45200d39f28ada8c456a6d796e2_1566790175-b.jpg) 
				
				
				
			  
Seorang wanita muda di India tanpa sadar hidup dengan salah satu kondisi medis yang paling langka dan paling mengejutkan selama hampir dua dekade, kata dokter. Menurut laporan, perempuan ini memiliki kantung berisi "saudara kembarnya" yang masih tumbuh bersarang di perutnya selama 17 tahun.
Si kembar dalam perut tersebut memiliki rambut, gigi, dan bahkan tulang belakang. Ngeri gengs!
Secara resmi dikenal sebagai janin dalam janin, kondisi ini diperkirakan terjadi ketika satu janin kembar dibungkus oleh janin lainnya sangat awal dalam kehamilan.
Janin tidak terus mengembangkan sistem saraf dan otaknya sendiri, tetapi masih mampu hidup. Dan itu menopang dirinya sendiri melalui saudara kandungnya, pada dasarnya menjadi parasit.
Teori lain menyatakan bahwa "janin" kedua sebenarnya adalah bentuk kompleks dari tumor yang disebut teratoma; tumor ini dapat mengembangkan berbagai jenis jaringan sekaligus, termasuk rambut dan gigi.
:quality(80):format(jpeg)/entries/2019-08/26/9713-1-1bc3d05711e5a0aa5fa1ac7a1a05af22.jpg) Kembaran wanita India tumbuh di dalam tubuh (gizmodo.com)
                Kembaran wanita India tumbuh di dalam tubuh (gizmodo.com)
            
                                            
                
Terlepas dari bagaimana kondisi tersebut terjadi, biasanya berakhir dengan keguguran, karena tidak cukup nutrisi yang tersedia untuk janin yang utuh. Tetapi bahkan ketika seseorang selamat, kondisinya biasanya cepat terdeteksi segera setelah kelahiran atau pada anak usia dini.
Sebelum kasus ini, menurut dokter yang menangani perampuan tersebut, hanya ada tujuh kasus orang dewasa lainnya yang dilaporkan hidup dengan saudara kembar. Dan sampai sekarang, mereka semua adalah laki-laki.
Cobaan berat wanita itu, yang dirinci oleh dokternya dalam sebuah laporan, benar-benar dimulai lima tahun sebelum dia berkunjung untuk berobat. Saat itulah dia dan keluarganya pertama kali menyadari bahwa dia memiliki benjolan yang keras dan cacat di sekitar perutnya.
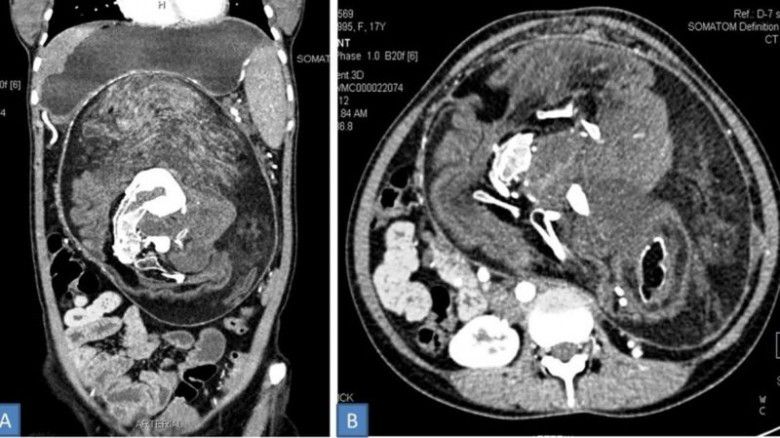
:quality(80):format(jpeg)/entries/2019-08/26/9713-2-1bc3d05711e5a0aa5fa1ac7a1a05af22.jpg) Kembaran wanita India tumbuh di dalam tubuh (casereports.bmj.com)
                Kembaran wanita India tumbuh di dalam tubuh (casereports.bmj.com)
            
                                            
                
Selama lima tahun berikutnya, benjolan itu secara bertahap tumbuh besar dan menyebabkan rasa sakit secara berkala. Pada saat remaja berusia 17 tahun itu mengunjungi para dokter, dia tidak dapat makan banyak dan selalu merasa kenyang, kemungkinan karena benjolan itu mulai menekan organ-organ internalnya.
Pada pemeriksaan fisik awal, benjolan itu diduga tumor. Meskipun, memang yang dialami perempuan bisa dibilang sebagai tumor. Tetapi ketika mereka melakukan pemindaian CAT pada benjolan itu, mereka menemukan endapan kalsium yang terlihat seperti "bentuk tulang belakang, tulang rusuk dan tulang panjang," dan kebenaran yang lebih mengerikan akhirnya terungkap. Para dokter kemudian berusaha untuk mengeluarkannya.
Menurut laporan itu, isi tumor "terdiri dari rambut, tulang dewasa dan bagian tubuh lainnya." Bagian tubuh ini termasuk "banyak gigi dan struktur menyerupai tunas tungkai." Ukurannya yang tipis — 36 × 16 × 10 sentimeter — juga akan menjadikannya yang terbesar yang pernah ditemukan pada kasus janin dewasa dalam janin.
:quality(80):format(jpeg)/entries/2019-08/26/9713-3-1bc3d05711e5a0aa5fa1ac7a1a05af22.jpg) Kembaran wanita India tumbuh di dalam tubuh (gizmodo.com)
                Kembaran wanita India tumbuh di dalam tubuh (gizmodo.com)
            
                                            
                
Syukurlah, setelah dilakukan pengangkatan, wanita itu mengalami pemulihan yang cepat dan lancar, dan dua tahun kemudian masih berjalan dengan baik.
“Saya merasa sangat baik dan perut saya rata dan orang tua saya juga sangat senang,” ia menulis dalam perspektif pasien yang disertakan dalam laporan.
Dalam akhir yang mengejutkan dari kisah aneh ini, para dokter tidak mampu mengikis setiap sisa sel "kembar" terakhir dari pasien. Jadi masih ada kemungkinan kecil beberapa sel ini bisa berperilaku seperti kanker dan tumbuh di luar kendali. Untuk mengurangi risiko itu, para dokter mengatakan mereka akan mengamati gadis itu setiap tahun untuk mencar tanda-tanda masalah.

:quality(80):format(jpeg)/members/avatar/tiberis-yeimo-f635db0d142618024f4a34348cc5ff23-s.jpg) 
				:quality(80):format(jpeg)/posts/2025-10/31/featured-788b363c1869cc27f75465a0097134e1_1761881210-b.jpg) 
						:quality(80):format(png)/default_images/avatar_default.png) 
							:quality(80):format(jpeg)/posts/2025-10/18/featured-d8e9b6638aa6148c0d9dace447c177eb_1760751735-b.jpg) 
						:quality(80):format(jpeg)/members/avatar/grace-chandra-wijaya-13c628e7bc078db2edd63c589e3f731a-s.jpg) 
							:quality(80):format(jpeg)/posts/2025-10/18/featured-f8bfb42c37c5574aa6ce6b90f610b50a_1760751038-b.jpg) 
						:quality(80):format(jpeg)/posts/2025-10/11/featured-374744bfe1fd4fe074296a7f0b688829_1760150406-b.jpg) 
						:quality(80):format(jpeg)/posts/2025-10/11/featured-c49161470c00344a66edacb09ea799ef_1760147389-b.jpg) 
						:quality(80):format(jpeg)/posts/2025-10/08/featured-86f15120225ec6293d6f4009ed5155e4_1759903049-b.jpg) 
						:quality(80):format(jpeg)/posts/2025-10/03/featured-e846195db1ae4c03f90287a721e0cb0c_1759466730-b.jpg) 
						:quality(80):format(jpeg)/posts/2025-10/03/featured-63399c04a2c7165b5be5008c63171d60_1759464799-b.jpg) 
						:quality(80):format(jpeg)/posts/2025-10/03/featured-38dad61fb711dc860227f485d002445b_1759459959-b.jpg) 
						:quality(80):format(jpeg)/posts/2025-09/23/featured-9012bd135ad03e8b8a585958d20913a2_1758611886-b.jpg) 
						:quality(80):format(jpeg)/posts/2025-09/23/featured-117b712e57b0323f0c4ac0de419d1a98_1758611284-b.jpg) 
						:quality(80):format(jpeg)/posts/2025-09/22/featured-cc203c2fb5a3d7f04dbbdc4819b4493c_1758525504-b.jpg) 
						:quality(80):format(jpeg)/posts/2018-04/06/featured-fe04bd3e7bcdce772e3d52cbfc8d05b2_1523023021-b.jpg) 
                    :quality(80):format(jpeg)/posts/2025-10/31/featured-788b363c1869cc27f75465a0097134e1_1761881210-b.jpg) 
                    :quality(80):format(jpeg)/posts/2025-10/31/featured-8f2474b30beb6867d8559b6b8e673e3e_1761888809-b.jpg) 
                    :quality(80):format(jpeg)/posts/2019-09/19/featured-c11c2b0f1fe993cbe53f5fd542b2978e_1568883565-b.jpg) 
                    :quality(80):format(jpeg)/posts/2025-10/30/featured-eb8db1df72f8ae42d4240ca9d74bc525_1761769260-b.jpg) 
                    :quality(80):format(jpeg)/posts/2025-08/08/featured-13bff1b3aa49af1494ca3174b59d5eb9_1754612415-b.jpg) 
                    :quality(80):format(jpeg)/posts/2025-07/18/featured-7e4d2e76492a473ba46db1d27924ce74_1752827281-b.jpg) 
                    :quality(80):format(jpeg)/posts/2025-07/09/featured-617d784397e128eca931201f6dd1186e_1752051805-b.jpg) 
                    :quality(80):format(jpeg)/posts/2025-07/07/featured-14a851b0aa40fab0dc25f83954853c9f_1751882665-b.jpg) 
                    :quality(80):format(jpeg)/posts/2025-07/04/featured-422f61a07bd309f736dfc674204a6fe1_1751599160-b.jpg)