Sebuah kabar mengejutkan datang dari Inggris. Seorang pria asal Inggris kaget mendapati diringan ternyata memiliki organ reproduksi wanita.
Padahal pria ini terlahir pria, bukan transgender. Selama ini ia juga menganggap dirinya lali-laki normal. Namun tiba-tiba ia mengalami datang bulan padahal tidak memiliki vagina.
LHA, KOK BISA?
# Sindrom Bernama PMDS
Yang dialami Rob, lelaki asal Ingris berusia 37 tahun ini ternyata ada penjelasan ilmiahnya dalam ilmu medis.
Kondisi yang dialaminya memiliki nama sindrom saluran Mullerian persisten atau disingkat PMDS.
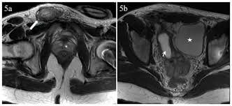
Hasil radiologi seseorang dengan PMDS (europepmc.org)
Kisahnya yang aneh tapi nyata ini menjadi perhatian masyarakat setelah muncul di Cosmopolitan pada tahun 2015 lalu.
Dalam Cosmopolitan dikisahkan bahwa seseorang yang terlahir dengan fisik pria ternyata bisa memiliki alat reproduksi wanita di dalam tubuhnya.
Rob tentu sangat kaget mengetahui bahwa dirinya memiliki organ reproduksi wanita. Apalagi ia buka seorang transgender. Atau memiliki sifat gemulai atau feminin. Rob mengaku sedari lahir ia merupakan laki-laki tulen, begitu pun sifat dan karakternya.
Namun, hasil diagnosis medis terhadap tubuhnya berkata lain. Dari sisi medis, Rob adalah perempuan.
# Asal Mula Mengetahui Sindrom PMD Rob
Awal mula Rob tahu dirinya memiliki organ reproduksi wanita berawal dari ketika dirinya pergi ke rumah sakit dan melakukan pemeriksaan.
Ia memeriksakan dirinya karena air seninya berdarah. Rob tadinya khawatir bahwa ia terkena kanker kandung kemih. Namun setelah diperiksa, dokter bahkan kaget. Sebab ditemukan organ reproduksi wanita dalam tubuh Rob.
Yang lebih mengagetkan, organ-organ reproduksi wanita yang ada dalam tubuh Rob bekerja secara normal.
Hasil pemeriksaan lanjutan yang dilakukan Rob menunjukkan bahwa ia mengalami Persistent Mullerian Duct Syndrome (PMDS), alias sindrom saluran Mullerian persisten.
