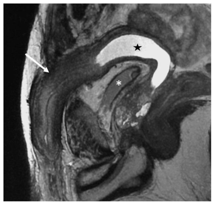
Contoh hasil pemeriksaan radiologi pada pengidap PMDS (europepmc.org)
Dikutip dari rarediseases.info.nih.gov, sindrom yang dialami Rob ini memang merupakan gangguan perkembangan seksual yang menyerang pria.
Alat reproduksi laki-laki (kelaspintar.id)
Pria yang mengidap PMDS umumnya memiliki alat reproduksi laki-laki normal, dan alat kelamin normal pula. Namun tidak hanya itu, mereka juga dapat memiliki rahim dan saluran tuba yang dimiliki wanita.
Tuba falopi dan rahim berkembang dari struktur yang disebut duktus Mullerian yang ada pada janin laki-laki dan perempuan.
Wah, gila ya geng? Gak kebayang banget gimana rasanya punya dua alat reproduksi dalam satu tubuh. Semoga aman-aman aja yang ya Bang Rob, jadi tetap bisa menjalani hidup dan aktivitas layaknya pria normal.
