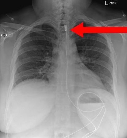
Hasil X-Ray Wanita Yang Makan Kabel (Daily Mail)
"Untungnya kabel itu berhasil dikeluarkan. Kini pasien sudah sembuh total dan tengah dalam masa pemulihan di rumah sakit. Sayangnya, dia tidak memberi tahu alasannya mengapa dia menelan kabel charger itu," tandas laporan tersebut.
Unggahan ini pun menuai beragam komentar dari netizen. Ada dari mereka yang mengaku pernah menemukan kasus serupa saat bekerja di rumah sakit jiwa. Di mana, pasien suka makan kuku, besi, staples hingga pengait bra. Adapun, gangguan makan ini dikenal dengan nama Pica.
Kondisi tersebut membuat pasien berkeinginan untuk memakan benda-benda kecil, yang tajam. Termasuk benda-benda yang tak memiliki kandungan nutrisi, seperti batu kerikil, pasir, cat, hingga debu. Beberapa kasus di berbagai negara, ada orang yang kecanduan makan puntung rokok, sabun, sampai batu bata.
